Wenn Zähne "abschmelzen" - Abrasion, Attrition und Biokorosion -
Vor nicht allzu langer Zeit waren Karies ("Zahnfäule") und lockere Zähne durch Parodontitis ("Zahnfleischschwund") die Hauptursachen für den Verlust von Zahnsubstanz und Zähnen. Erfreulicherweise hat sich das geändert: Durch die verbesserte Mundhygiene bleiben mehr und mehr Menschen weitgehend kariesfrei und das Zahnfleisch und der Zahnhalteapparat werden gesund erhalten.
In den letzten zwei Jahrzehnten rücken andere Schadensformen an den Zähnen mehr und mehr in den Vordergrund. Es sind Substanzverluste an den Oberflächen der Zähne, die durch mechanische ("Zähneknirschen", beschleunigter Zahnabrieb) oder chemische (Säureschäden) Einflüsse zu massiven Formveränderungen der Zähne, zum Absinken der Bisshöhe oder zum Freiliegen von empfindlichen Zahnarealen führen. Nach dem kompletten Verlust des schützenden Schmelzmantels liegt dann das Zahninnere, das Dentin frei, was zudem zu stark schmerzempfindlichen Zähnen führen kann.
Natürlicher Oberflächenverlust (= Physiologische Demastikation)
Jedes Gebiss unterliegt normalerweise einem kontinuierlichen Abrieb durch die Nahrungsbestandteile und die jeweilige Gegenbezahnung bzw. durch den Einfluss von natürlichen Säuren aus der Nahrung. So haben 20jährige in nur drei Prozent der Fälle einen stark sichtbaren Abriebsverlust (Abrieb bis in das mittlere Dentindrittel), wohingegen 70jährige diesen zu 17 Prozent aufweisen. Über 80% der 70jährigen haben zwar gealterte, aber grundsätzlich intakte Zahnoberflächen. Im Normalfall müssten unsere Zähne vom Abrieb her für ein ganzes Leben halten, weil wir in 10 Jahren nur etwa 0,3 mm an Zahnschmelz verlieren. Da der Schmelzmantel der Zähne im Bereich der Kaufläche ca. 1,5 mm dick ist, sollten wir die ersten 50 Jahre der Zahnnutzung ohne Freilegung von Dentin schaffen. Dies gilt umso mehr, als wir in unseren "modernen Zeiten" die Zähne nicht mehr als Werkzeug nutzen oder auf Steinen gemahlenes Mehl zu uns nehmen müssen. Das Mehl mit dem Sandzusatz wirkte in früheren Zeiten zu Brot gebacken wie Schmirgelpapier. Gebisse von Menschen, die vor mehr als 250 Jahren lebten, zeigen einen deutlich höheren Substanzverlust als heutzutage üblich.
Es ist grundsätzlich sehr wichtig, krankhafte Substanzverluste schon in einem frühen Stadium zu entdecken, um massive Schäden und hohe Folgekosten für aufwendige Zahnrekonstruktionen zu vermeiden. Insbesondere kann sich der Abrieb verstärken, wenn das Dentin ("Zahnbein") an der Zahnoberfläche durch den vollständigen Verlust des Zahnschmelzes frei zu liegen beginnt, weil Dentin fünf mal weicher als Zahnschmelz ist.
Was sind die Ursachen für einen beschleunigten Verlust von oberflächlicher Zahnsubstanz, der nicht durch Karies verursacht sind ? Wir unterscheiden hier zwei Schadensmechanismen, die im schlimmsten Fall kombiniert auftreten können:
1) Erosive Defekte (=> "Biokorosion")
Diese Defekte sind Säureschäden, die durch aggressive Nahrungsmittel wie saure Softdrinks (pH 2,6) oder durch den Einfluss der Magensäure (pH 1) bei regelmäßigem Erbrechen oder regelmäßigem "sauren Aufstoßen" ("Bulimie" oder "Refluxkrankheit) entstehen. Die Zahnsubstanz wird einfach weggeätzt. Die beliebte "braune Zuckerbrause aus den USA" enthält Phosphorsäure mit einem pH von 2,6: Kein Wunder, wenn sich nach dem Genuss die Zahnoberflächen mit der Zunge seltsam stumpf anfühlen - wir haben die Zähne soeben mit Säure übergossen! Weil bei Kontakt mit einer hohen Säurelast die gesamte oberflächliche Kristallstruktur verloren geht, kann auch die Remineralisation durch den mineralhaltigen Speichel diese verlorene Substanz nicht mehr reparieren, ein winziger Teil der Zahnsubstanz ist dauerhaft verloren. Die betroffenen Zahnoberflächen bekommen ein glattes, seidig glänzendes Aussehen. Besonders saure natürliche Nahrungsmittel sind zum Beispiel Fruchtsäfte, Fruchtsmoothies, Zitrusfrüchte, Sauerkraut oder Essig (pH 2,5). Sie werden in der Regel aber erst dann zum Problem, wenn sie unnatürlich häufig oder in großen Mengen konsumiert werden (Beispiel: andauerndes Lutschen von Zitronenscheiben). Erfahrungsgemäß stellen saure Soft- und Isodrinks ein weitaus größeres Problem dar.
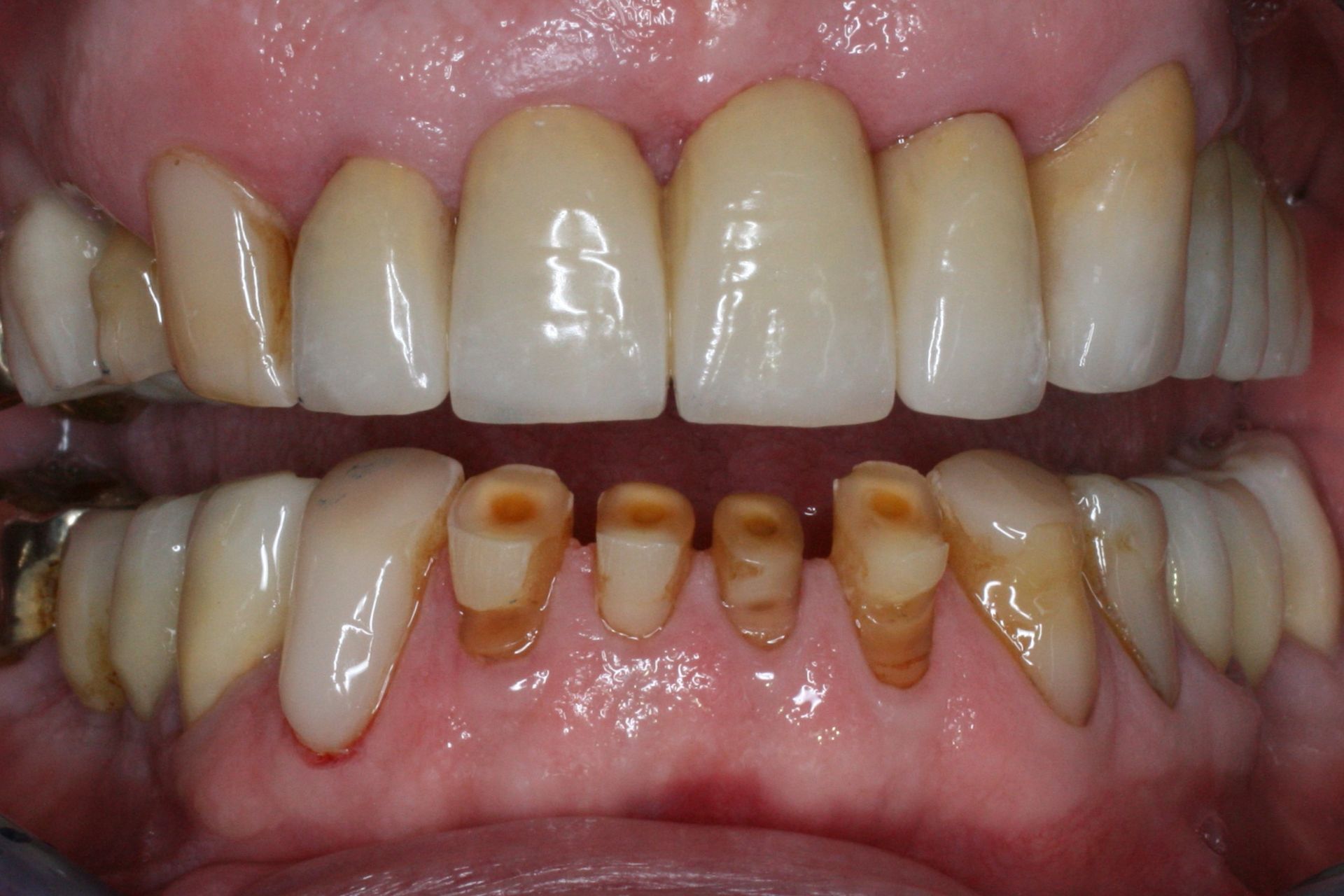
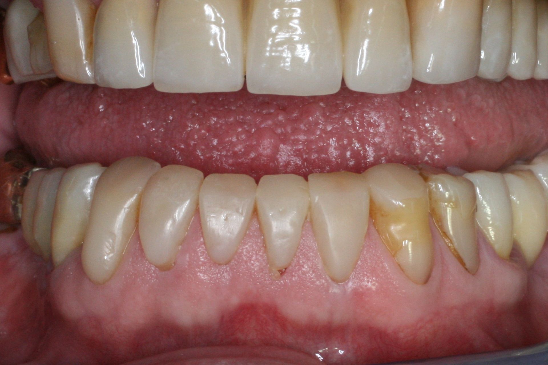
2) Mechanische Defekte (Abrasion, Attrition, Abfraktion)
Bei der Abrasion von Zähnen werden Zahnoberflächen durch die Einwirkung eines Schleifmediums mechanisch abgetragen. Hier stand in früheren Zeiten vor allem die abrasive Nahrung im Vordergrund, die beim Zerkauen eine natürliche Schleifwirkung auf den Zähnen entfaltete. Heutzutage ist eine falsche Zahnputztechnik (kraftvolle horizontales Schrubben) in Kombination mit den Putzkörpern der Zahnpasta eine der Hauptursachen für Substanzverluste auf den Zahnhälsen. Besonders aggressiv sind häufig "Raucherzahnpasten", die eine schnelle Entfernung von Raucherbelägen versprechen, was durch den Einsatz von aggressiven Putzkörpern zum "Zerkratzen" der Zahnoberfläche führt. Eine weitere Ursache können sogenannte "Habits" sein, also schädliche Angewohnheiten, bei denen regelmäßig unbewusst lang andauernd auf Fremdkörpern (Kugelschreiber, Fingernagel, Büroklammer...) herumgekaut oder gerieben wird. Hier finden sich zum Teil "unerklärliche" Dellen oder Zacken auf den Zahnoberflächen.
Unter Attrition, einer Sonderform der Abrasion, verstehen wir den Abrieb der Zähne durch direkten Zahnkontakt, also durch das Zähneknirschen oder Pressen. Bei der normalen Kautätigkeit berühren sich die Zähne nur sehr kurz und trennen sich reflexartig wieder voneinander, die Nahrung wird also fast ohne Zahnkontakt durchgewalkt und zerdrückt. Dabei puffert sie die Zähne gegeneinander, die beim Kauen eben nicht großflächig aufeinanderreiben. Anders verhält es sich beim Zähneknirschen: Die Zahnoberflächen reiben mit hohem Druck ohne jedes Polster und minutenlang aufeinander. Es kommt zu stereotypen Wiederholungen von Bewegungsmustern, die sich von der Kaubewegung deutlich unterscheiden. In der Folge kann es zu einem massiven Abrieb und einer Abflachung und Einebnung der Oberflächenkonturen der Zähne kommen, weil jeder Zahn auf ein gleich starkes Gegenüber trifft. Faktoren, die das Knirschen mit den Zähnen verstärken, sind Stress, fehlende körperliche Bewegung und seelische Belastungen. So ist es nicht verwunderlich, dass sich während der COVID-19-Pandemie die beobachteten Fallzahlen erhöht haben. Betroffen sind nach derzeitiger Studienlage um die 8% der Bevölkerung. Mit der Zeit kommt es zu einer Verkürzung und unnatürlichen Verstärkung der Kaumuskulatur. Es gibt zwei Formen von Bruxismus: Das Knirschen am Tag ("man muss sich durchbeißen") und das nächtliche Knirschen ("Problemverarbeitung im Schlaf"). Die nächtlichen Aktivitäten können in der Regel nur durch das Tragen einer Schutzschiene in einem Kiefer unschädlich gemacht werden.
Bei der Abfraktion, dem Ausbruch von kleinen oder größeren Zahnsegmenten durch eine mechanische Überlastung, löst sich ein ganzes Stück Zahn oder Füllung. Der "Klassiker" ist das Steinchen im Salat oder der Kirschkern im Kuchen. Weil wir nicht mit diesem Fremdkörper rechnen, kauen wir in unserem üblichen Bewegungsmuster und treffen so schlagartig auf das Hindernis. Auch können unvollständige Risse ("Infrakturen") im Zahn entstehen, die zu Schmerzen bei Belastung führen. Die Abfraktion ist der häufigste Grund, den Zahnarzt sofort aufzusuchen, sie wird fast immer bemerkt.
Abrasion, Attrition oder Erosionen hingegen verlaufen schleichend und werden häufig erst spät vom Patienten bemerkt. Das Hauptsymptom ist die Verkürzung von Frontzähnen und eine erhöhte Sensibilität von ganzen Zahngruppen auf Kälte, Wärme oder Süßes.
Symptome für das Zähneknirschen können übertrainierte Kaumuskeln, die zudem verspannt und verhärtet erscheinen, unspezifische Zahnschmerzen an gesunden Zähnen und Missempfindungen beim Aufwachen sein. Oft berichten die Lebenspartner von nächtlichem Knirschen und hören mahlende und knackende Geräusche, während der Partner schläft.
Durch die Kombination dieser Mechanismen können sich die entstehenden Zahnschäden beschleunigen. Wenn Zähneknirschen auf saure Softdrinks und falsche Zahnputztechnik trifft, geht die Zahnsubstanz wie im Zeitraffer verloren. Fehlerhafte Zahnstellungen (fehlende Schutzokklusion durch fehlende Führung in der Front) können ebenso zu einer Verstärkung des Abriebes im Seitenzahnbereich führen.
Was tun bei krankhaftem Oberflächenverlusten von Zähnen?
Zunächst gilt es, einen gesteigerten Substanzverlust von dem normalen Abrieb der Zähne zu unterscheiden und insbesondere das Lebensalter zu berücksichtigen. Wird dieser festgestellt, ist die erste und einfachste Maßnahme, den ursächlichen Schadensmechanismus aufzudecken und wenn möglich sofort abzustellen.
Hier können viele Maßnahmen hilfreich sein. Eine richtige Zahnputztechnik und eine geeignete Zahnpasta-Zahnbürsten-Kombination schonen freiliegende Dentinbereiche. Das Zähneputzen direkt nach stark sauren Speisen sollte vermieden werden, um den angelößten Zahnoberfläche Zeit zur "Reparatur" zu geben. Es ist sinnvoll, eine Stunde zu warten, bis der Speichel die Säure neutralisiert und die Zahnoberflächen remineralisiert hat. Eine zahnschonende Ernährung unter Vermeidung von permanenten Säureattacken bringt weitere Sicherheit.
Verloren gegangene Führungsflächen im Frontzahnbereich können minimalinvasiv mit Kunststoff ergänzt werden.
Durch Selbstbeobachtung können schädliche Gewohnheiten oder das "Tagesknirschen" erkannt abgestellt werden.
Ausdauersport und physiotherapeutische Übungen können die verspannte verkürzte Kaumuskulatur lockern helfen.
Abgenutzte Füllungen oder fehlende Zähne im Seitenzahnbereich verhindern eine Verteilung des Kaudrucks und erhöhen so den Druck auf die restliche vorhandene Zahnsubstanz. Deshalb ist bei ausreichend erhaltener Bisshöhe die Stabilisierung der Abstützung des Zahnbogens durch den Ersatz fehlender Zähne oder verlorener Zahnanteile unabdingbar.
In ausgeprägten Fällen von Substanzverlust und dem Absinken der Bisslage ist eine komplette Rekonstruktion der Kauflächen im Seitenzahnbereich zur Wiederherstellung der verloren gegangenen Bisshöhe erforderlich. Diese Maßnahme macht umfangreiche prothetische Maßnahmen erforderlich, die eine hohe finanzielle Belastung für die Betroffenen mit sich bringen. Aus diesem Grund ist es wichtig, möglichst rechtzeitig einzugreifen und den Biss zu stabilisieren.
Deshalb: Wenn Sie bemerken, dass Sie mit den Zähnen knirschen oder Formveränderungen und Ihrer Zähne bemerken, reagieren Sie früh und beraten Sie sich mit Ihrem behandelnden Zahnarzt über möglichst einfache Lösungen.
Bleiben Sie gesund!
Ihre Praxis für Zahnerhaltung Dr. Gudrun Flechsig und Dr. Tilman Flechsig







